Oral Hygiene Instructions for Children
Begin brushing your child’s teeth as soon as the first tooth erupts. Flossing should begin when all baby teeth have erupted and have tight contacts. After each feeding, wipe the child’s teeth and gums with a damp washcloth or gauze pad, to remove plaque from birth.
Use a soft, age appropriate sized tooth brush
Most international paediatric dentistry organizations currently recommend that children should brush twice daily with fluoride toothpaste. To prevent the children from ingesting too much fluoride, the parents should dispense the tooth paste for their children
For children under two years old, a smear layer of fluoride toothpaste should be used, for ages 2-5 years, a pea sized amount is recommended.
Young children do not have the ability to brush and floss their own teeth effectively. The parents should brush and floss their children’s teeth twice daily until they are old enough to brush on their own. Usually children do not have the manual dexterity to clean the plaque effectively until they are 8 years or older. This differs for every child. A transitional period of supervised brushing by the parents can be done until the parent and the paediatric dentist are confident that the child can properly and effectively remove the plaque from their teeth.
Use short, gentle, horizontal or circular strokes for 2 minutes to clean all the tooth surfaces, paying extra attention to the gum line and hard to reach back teeth. Tooth brushing must be done twice daily: before breakfast and after dinner before the child goes to sleep.
When teeth are in tight contact, the tooth brush alone cannot remove the food remnants and bacteria trapped between teeth that can begin the process of tooth decay. Dental floss is used to remove this trapped food and bacteria. As a result, the teeth and the gums stay healthy and decay free. There are many different types of floss available in the market that can be effective if used correctly. The waxed type can be easier to use and gentler on the child’s gums. A holder for the floss might make the access easier for the parents.

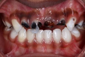
Dental caries are non-communicable disease and occurs due to many factors . Mos common reasons are :
- Diet and feeding habits : frequent snacking and eating or drinking sugary food (juices, candies, sodas, sticky snacks and sweetened milk. As well night time bottle feeding (milk or juice).
- Oral hygiene : Brushing of children teeth and using floss help in preventing developing decay in children teeth.
- Other factors such as sharing spoons, weak enamel or tooth structure (can happen in premature birth and some illnesses)
- Regular dental visit help in missing the early decay treatment which results in advancement of the decay that result in pain and tooth infection.
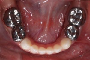
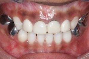
Decayed teeth in children can be filled with
- Tooth colored fillings (composite ) that is tooth colored and used for visible areas and small cavities
- Glass Ionomer cement: tooth colored and usually used as long term temporary fillings or permanent filling under the primary teeth crowns such as Stainless steel crowns, zirconia crowns or resin crowns (Bioflex).
- Amalgam fillings : silver color and currently is not used widely in children
- Full coverage restorations: they are actually crowns that covers the primary molars such as :
A: Stainless steel crown: mostly for back teeth due to its color but it is very efficient and durable and coast less than more esthetic crown

B: tooth colored crowns such as zirconia crowns and Bioflex (bioflex is modifies resin crowns)

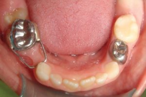
Space maintainer is a small dental device that help keep the space for the permanent tooth as a result of early loss or extraction of the primary tooth (extraction because of abscess or root resorption). They are fabricated in dental laboratory and cemented to the adjacent tooth.
There are different types of the space maintainer such as :
Band and loop: usually used for single tooth molar

Lingula arch and Upper Nance : for more than one side loss of primary molars in the lower and upper arch (jaw)
Removable space maintainers : they look like dentures and retainers